- 30.10.2018
- 21 502
- 33 461
- 113
- Мои зверушки
-
Юки - дворняжка, Прохор - котик
Айна - питбуль
Сегодня к нам приехала вот такая фея. В субботу появилась около подъезда жилого дома в Домодедовском районе.
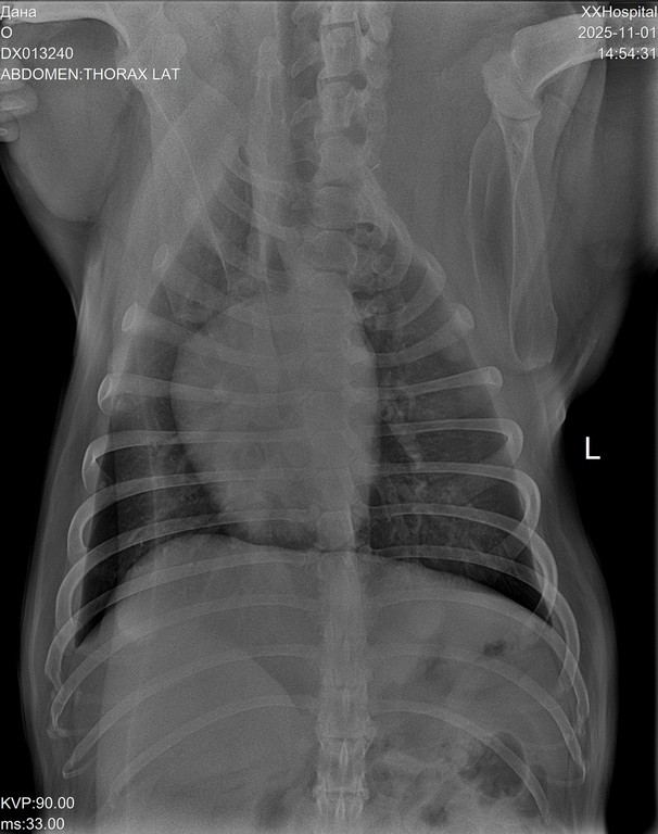
Дама в возрасте, лет 8-9. Вся в новообразованиях. В том числе раздут один сосок, откуда выделяется жидкость.

ФИНАНСИРОВАНИЕ
Финкураторы
Итого:
Приход
Итого:
Расход
Обработка при поступлении - 800р.
Передержка с 27.10.25 по 31.10.25 - 2500₽
Передержка с 01.11.25 по 30.11.25 - 15000р.
Передержка с 01.12.25 по 11.12.25 - 5500₽
29.10.25 анализы- 1165₽
Итого: 24965р.
ИТОГО:
Дама в возрасте, лет 8-9. Вся в новообразованиях. В том числе раздут один сосок, откуда выделяется жидкость.

ФИНАНСИРОВАНИЕ
Финкураторы
Итого:
Приход
Итого:
Расход
Обработка при поступлении - 800р.
Передержка с 27.10.25 по 31.10.25 - 2500₽
Передержка с 01.11.25 по 30.11.25 - 15000р.
Передержка с 01.12.25 по 11.12.25 - 5500₽
29.10.25 анализы- 1165₽
Итого: 24965р.
ИТОГО:
Последнее редактирование модератором:


















.jpg)
.jpg)
.jpg)
.jpg)












